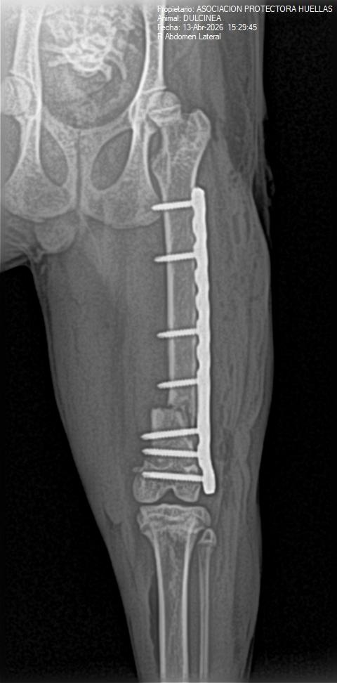
Hoy se ha operado a DULCINEA gracias a todos los que habéis donado para poder pagar su operación.
Todo ha salido bien, ahora toca cuidados veterinarios y reposo, os seguiremos dando noticias.
MUCHÍSIMAS GRACIAS


Protectora de Animales y Plantas
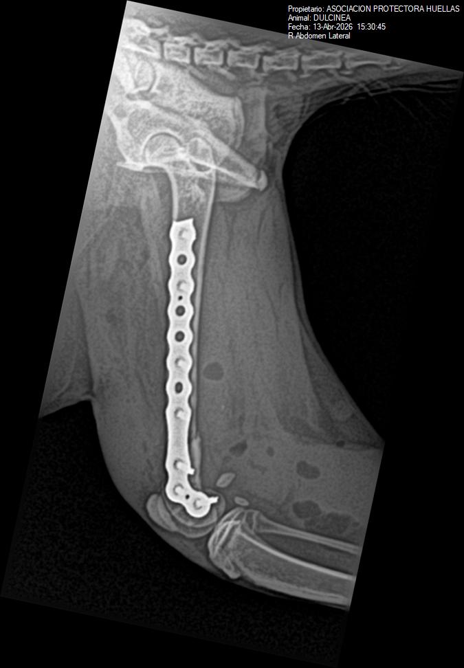
Hoy se ha operado a DULCINEA gracias a todos los que habéis donado para poder pagar su operación.
Todo ha salido bien, ahora toca cuidados veterinarios y reposo, os seguiremos dando noticias.
MUCHÍSIMAS GRACIAS

