16 agosoto 2016
Este es Sean, un perro de tamaño mediano-grande. Recibimos un aviso el pasado día 15 de Agosto de un animal en muy mal estado por el barrio de El Carmen, en la calle Juan de Austria. Un voluntario rápidamente se acercó al lugar y no daba crédito a lo que veía… un animal totalmente derrotado, sin fuerzas, lleno de cicatrices que le han marcado todo su cuerpo, y una mirada que solamente gritaba ayuda… Sin dudarlo rápidamente, fue llevado a la clínica veterinaria donde lo atendieron.
Su estado es lamentable, tan sólo pesa 13 kg; sus heridas han sido curadas y la más grave del cuello, cosida. Con toda probabilidad y por la cantidad de heridas y cicatrices, algunas antiguas y otras más recientes, creemos que ha sido utilizado como sparring o en peleas. Sigue ingresado porque está muy débil y deshidratado.
Los voluntarios/as de Huellas estamos muy tristes y sin fuerzas, no podemos soportar estos casos, pero vamos a luchar porque esto acabe cueste lo que nos cueste y Sean tenga la nueva vida que se merece. Estamos recibiendo mensajes y comentarios de personas que queréis ayudarnos económicamente y que tanto necesitamos, por ello hemos creado este evento.
Cuando esté totalmente curado, se detallará el coste de la factura y las aportaciones recibidas y avisaremos con antelación , para que no realicéis más aportaciones.
14 DE OCTUBRE
SEAN se está recuperando muy bien, le han hecho una análitica y una radiografía. Se le ha quedado una ligera cojera, en la pata que se operó, pero hace una vida normal, y cada día está más feliz y olvidando su pasado.
Pronto viajará a Francia , junto a su familia que le espera.
14 septiembre
Sean sigue mejorando día a día, aún le falta otra rx y anaítica para ver como sigue evolucionando, pero tenemos una gran noticia, cuando este bien ira a Francia junto a una muy buena familia que le querra y cuidará toda su vida.
29 de agosto
SEAN ha ido hoy a revision. Está genial ha recuperado kilos. Ya pesa 15.300. Y vuelve el viernes que viene a revision.
, le harán análisis y radiografía para ver como evoluciona.

25 de agosto
La operación se ha dado bien y se está recuperando está noche. Está ingresado y se espera que mañana se le dé de alta y que pueda volver a su casa de acogida.
Al final fue necesario cortar la cabeza del femur ya que el hueso estaba mal, también ya que estaba anestesiado y para evitarle otra anestesia futura , se ha esterilizado.
23 de agosto
MAÑANA OPERAN A SEAN, le tienen que colocar la cadera y probablemente cortar algo de fémur.
Por favor por ahora no hagáis más aportaciones para Sean, a parte de la operación, en su postoperatorio seguirá necesitando medicación, rehabilitación, curas…..Pero como vuetra respuesta está siendo magnífica, creemos que quizas ya tendremos suficiente dinero para pagar todo, si siguiera faltando os lo comunicaremos. MUCHÍSIMAS GRACIAS a todos por vuestra ayuda a SEAN
21 de agosto
SEAN comienza a conocer la felicidad que se merece, es un auténtico amor de perro, y apesar de su vida anterior confia plenamente en los humanos.


20 de agosto 2016
Sean, ahora sí empieza tu nueva vida, ahora sin mirar atrás y solo pensar que te tienes que recuperar, acomodado en tu nuevo hogar de acogida, algo miedoso sin saber que te está pasando, en pocos días de pasar del infierno al ser el más mimado, recibiendo cariño y momos sin parar.
Ningún mal gesto a pesar de que tus heridas y miedo duelen, sin saber que su cura es por tu bien.
Sean no tiene problemas con otros perros ni gatos, no ha mostrado ningún interes, solo quire comoer y descansar.



19 agosto 2016
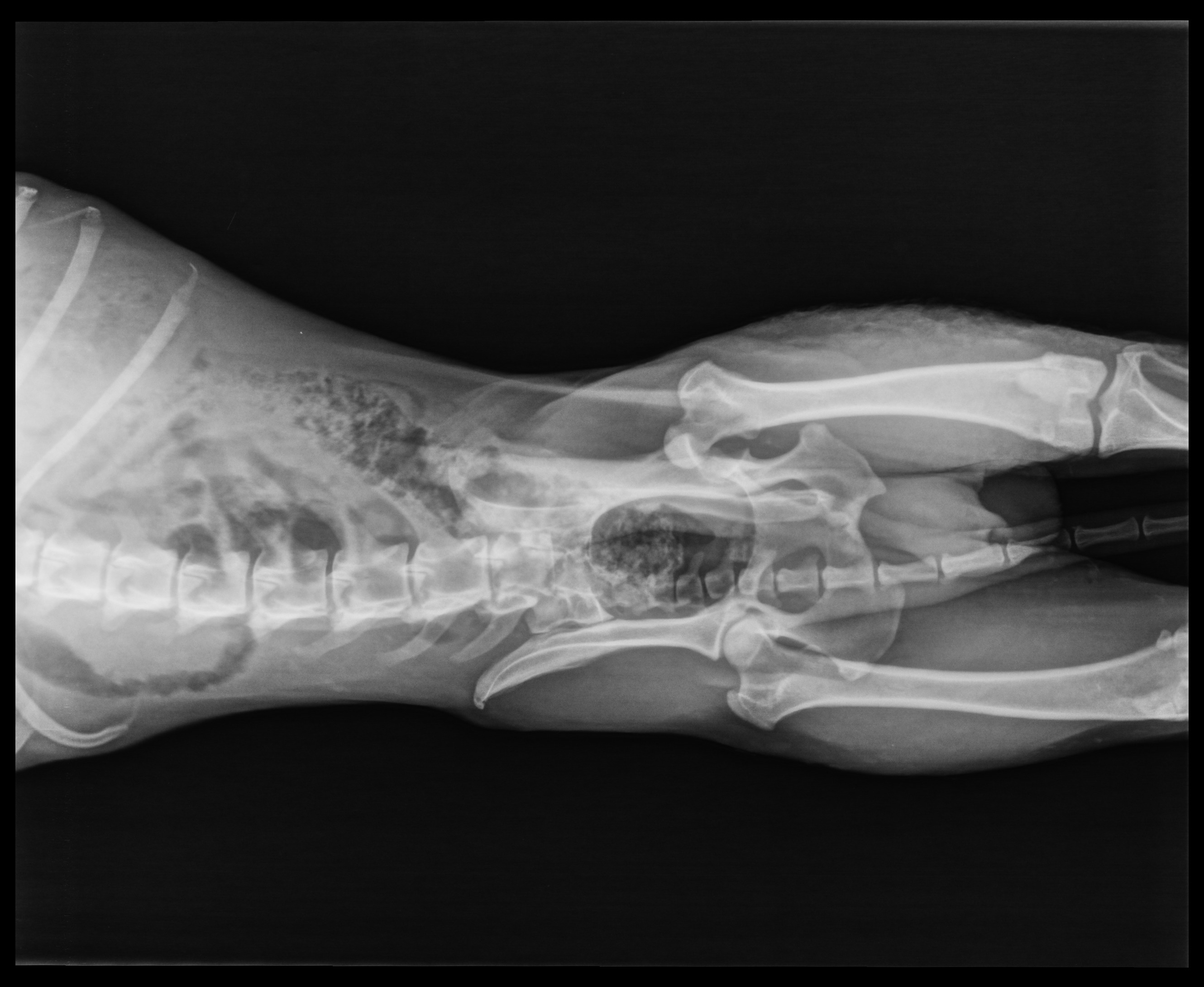
A SEAN le han hecho analitica y radiografias.
Radiografias
Se observa que tiene los pulmones perforados y el torax lleno de aire (de alli la respiración dificultosa) y para eso lo único es reposo.
Tiene la cadera fuera de su sitio y será necesario operación para cortar la cabeza del femur. Estas son las radiografías de SEAN:

Analítica
De la analítica se desprende que tiene un problema grande de hígado, debería tener un nivel de 100 en enzimas hepáticas ALT y AZT, y lo tiene en 1300, probablemente causado por haberle suministrado esteroides.

18 agosto 2016
Mañana
SEAN fué dado de alta ayer tarde/noche y la ha pasado en una casa de acogida, donde continuará hasta su total restablecimiento. A lo largo del día pondremos el total de la factura veterinaria acumulada hasta ahora, y continuaremos informando de su estado de salud.
Tarde
Sean tiene que volver al veterinario otra vez, respira con dificultad y le harán radiogafía de torax (por si le han dado una patada…) y también otra nueva analítica más completa.
Esperamos no tener malas noticias.
También hay que llevarle diariamente al veterinario a que le hagan curas..
MUCHÍSIMAS GRACIAS de nuevo a todos los que estáis colaborado para ayudarle.
Muchísimas gracias
Por favor poned en concepto: SEAN
UNICAJA – 2103 0447 41 0030011540
IBAN – ES84 2103 0447 4100 3001 1540
BIC / SWIFT – UCJAES2M
O a través de paypal en nuestra web www.huellaspuertollano.es
Benefactores de SEAN
Donante |
Cantidad |
| Blanca Muela Gijon | 20 € |
| Jana Laguna Megino | 10 € |
| Ana María Navarro Simarro | 10 € |
| Elena Sanz Zamora | 10 € |
| C&M CONSULTORES | 100 € |
| Rebeca Fernández Pablo | 20 € |
| Paloma Muñoz Lajara | 30 € |
| Ana Ruiz | 5 € |
| Caridad Muñoz Morales | 10 € |
| Pedro Luis Gavira García | 10 € |
| Miriam Gómez Peralta | 10 € |
| María del Mar Serrano Barrios | 10 € |
| Sofía Alcalde Garcia | 10 € |
| Claudie Blocklet | 50 € |
| Cristina Rodríguez G | 15 € |
| María Teresa Lopez Merayo | 40 € |
| Tamara Ruiz Muñoz | 20 € |
| Esther Martín Navas | 20 € |
| Jesús Manuel Luna Mora | 10 € |
| Moisés Torosio Monsalve | 20 € |
| Cristina Pintado Losa | 30 € |
| Dolores García Baltasar Valle | 20 € |
| María José Coello | 5 € |
| Gracia Mellado Molina | 20 € |
| Ángel Andrada Romero | 20 € |
| Beatriz Maria Escario Sierra | 24 € |
| Jose luis Navarro García | 20 € |
| Anónimo | 10 € |
| Guillermo Hernandez Cañadas | 10 € |
| Rocio Monroy Camarero | 10 € |
| Anónimo | 20 € |
| Carmen Sánchez Vozmediano | 60 € |
| Maria de las Nieves Cast. | 15 € |
| Eva María Mora Hervás | 10 € |
| Paula González Casillas | 10 € |
| Ruth Marco | 25 € |
| Tamara López Ruiz | 30 € |
| Ricardo Ortiz Noguera | 100 € |
| María José Nevado | 20 € |
| Laura Argemi Fernández | 10 € |
| Laura Navarro Simarro | 25 € |
| Águeda Casas García | 100 € |
| PROARQUI SL | 40 € |
Facturas hasta ahora de SEAN
Total gastado : 683.82 €
Total donaciones: 1.064 €
Diferencia: 380,18 €
Como hay más donaciones que gastos, quién quiera le devolveremos su donativo, o si preferís ya que constantemente nos llegan perros «deshaciados» y con operaciones que hacer, lo invertiriamos en un próximo caso y pondriamos la factura por aquí también.












Quiero que mi donación sea para ayudar a Sean, gracias
Muchísimas gracias José Luís, por supuesto que lo será
Gracias y un saludo